あなたの歯並び治ります
矯正歯科専門(神奈川県/鎌倉市)
カマクラデントフェイシャルオーソピディクス
山本歯科・矯正のホ−ムペ−ジ

矯正歯科専門医(神奈川 県 / 鎌倉 市)/カマクラデントフェイシャルオ−ソピディクス 山本歯科・矯正/歯科矯正認定専門医 山本一宏 ホ−ムに戻る
矯正歯科(神奈川県/鎌倉市)カマクラデントフェイシャルオ−ソピディクス 山本歯科・矯正
矯正歯科医 山本一宏 ホ−ムに戻る

ムシ歯の一本もないひとたちあつまれ!!

矯正歯科/予防歯科の共同作業によって素晴らしい歯ならび/かみ合わせになりしかもムシ歯が1本もなかった人たちの笑顔

 福田逹也さんは,日本大学生物資源科学部の3年生です.趣味は音楽を聴くこと・・・.大きな生き物が大好きで,本物の家畜を飼おうと真剣に考えたこともあるなど,やさしいお人柄を感じさせる一面です.

矯正歯科/予防歯科のコラボレ−ションによってきれいな歯ならび/正しいかみ合わせになってしかもムシ歯が1本もない患者さん/非抜歯(歯を抜かないで治した)

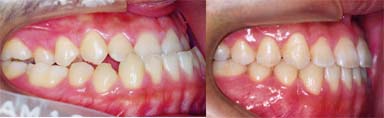
 当院初診時には,骨格性の下顎前突でした.1年8カ月の矯正動的治療を経て,素晴らしい歯並び・噛み合せとなりました.通常のエッジワイズ・マルチブラケット装置に加えて,整形的装置(通常は上顎に使うヘッドギアを下顎に応用)を6ヶ月間使用し,非抜歯で,外科矯正を伴うこともなく,フィニッシュしました.

矯正歯科/予防歯科のコラボレ−ションによってきれいな歯ならび/正しいかみ合わせになってしかもムシ歯が1本もない患者さん/非抜歯で骨格性の下顎前突(受け口)を矯正歯科治療

 ムシ歯にならなかった秘訣は・・・.1日2回以上ブラッシングすること.1回の歯ブラシに15分くらい時間をかけること.デンタルフロス(糸ようじ)を使うこと.牛乳を1本以上飲むこと,などだそうです.

               

矯正歯科専門院カマクラデントフェイシャルオーソピディクスにおいて歯科矯正認定専門医による矯正歯科治療を受けた患者さん堀 友絵さんのいい歯並び

「ムシ歯の一本もないひとたちあつまれ」ページに戻るには,すぐ上のいい歯並びの写真(堀 友絵さん協力)をクリックしてください.

矯正歯科専門(神奈川県/鎌倉市)
カマクラデントフェイシャルオーソピディクス
鎌倉市小町1ー5ー21,森ビル3F
CALL 0467 (22) 6702
e-mail : dentofaco@gmail.com
URL:http://dentfaco.jp
院長:歯科矯正医 山本一宏

ご相談・初診のご予約は,上の番号に電話いただくか,e-mail addressをクリックして送信してください.